Gdy Twój pacjent śpi za dużo, czyli zaburzenia świadomości u pacjenta geriatrycznego – opis przypadku

When your patient sleeps too much, disturbance of consciousness in the case of a geriatric patient – case report

Szymon Wiśniewski1Maria Antos1

11 Collegium Medicum Uniwersytetu Jana Kochanowskiego w Kielcach, al. IX Wieków Kielc 19A, 25-317 Kielce 2 I Klinika Kardiologii i Elektroterapii Wojewódzkiego Szpitala Zespolonego w Kielcach, Grunwaldzka 45, 25-736 Kielce

Szymon Wiśniewski

Otrzymano: 10.09.2020Zaakceptowano: 28.10.2020Opublikowano: 29 października 2020
e-ISSN: 2084-2708 (wersja pierwotna)p-ISSN: 2083-0033 (wersja drukowana)

Streszczenie

Wstęp

Zaburzenia świadomości są częstym objawem występującym u chorych w wieku podeszłym. Szereg chorób towarzyszących oraz znaczna ilość przyjmowanych leków w tej grupie pacjentów może utrudniać postawienie właściwego rozpoznania, dlatego kluczowe jest holistyczne oraz interdyscyplinarne podejście.

Opis przypadku

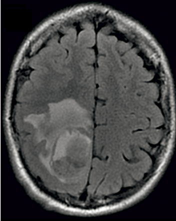
Ryc. 2. Ognisko udaru niedokrwiennego mózgu w prawym płacie potylicznym. Praca przedstawia przypadek 79-letniego mężczyzny, leczonego przewlekle z powodu niewydolności serca oraz cukrzycy typu 2. Pacjent zgłosił się do kliniki kardiologii z powodu zaburzeń świadomości. Kilka dni wcześniej chory został wypisany ze szpitala po epizodzie obrzęku płuc. W wyniku zastosowanego leczenia uzyskano stopniową poprawę stanu ogólnego. Podczas dalszej obserwacji szpitalnej doszło do ponownego pogorszenia kontaktu z chorym. Zdecydowano się na wykonanie badania tomografii komputerowej głowy, w którym uwidoczniono ognisko udaru niedokrwiennego mózgu w prawym płacie potylicznym. Pacjenta w trybie pilnym przekazano pod opiekę do kliniki neurologii.

Wnioski

Leczenie jest procesem dynamicznym, często wymaga modyfikacji w zależności od zmieniającego się obrazu klinicznego pacjenta. W przypadku pacjenta geriatrycznego należy zachować szczególną uwagę, prowadzić długofalową obserwację chorego i rozważnie podejmować decyzje o wdrożeniu terapii.
Słowa kluczowe:geriatriachoroby przewlekłezasady terapii

Abstract

Introduction

Disorders of consciousness are a frequent symptom in elderly patients. Various comorbidities and large amounts of medications administered in this group of patients may complicate determining an appropriate diagnosis, therefore a holistic and interdisciplinary approach is crucial.

Case Report

The work presents the case of a 79-year-old man, chronically treated for heart failure and type 2 diabetes mellitus. The patient reported to the cardiology clinic due to consciousness disorders. A few days prior, the patient was discharged from the hospital after an episode of pulmonary edema. As a result of the employed treatment, the general condition gradually improved. During further hospital observation deterioration of contact with the patient reoccurred. The decision to perform a computer tomography of the head was made, which visualized a focus of ischemic stroke in the right occipital lobe. The patient was urgently transferred to a neurology clinic.

Conclusions

Treatment is a dynamic process, often requiring modifications depending on the patient’s changing clinical picture. Special attention should be paid in the case of a geriatric patient, with long-term patient observation and thorough decisions regarding therapy implementation.
Keywords:geriatricschronic diseasetherapy modalities

Piśmiennictwo

  1. 1.. B. Bień. Standardy postępowania w opiece geriatrycznej. Gerontologia Polska. 2014;21(2):33-47
  2. 2.S. G. Parker. New Horizons in comprehensive geriatric Assessment. Age and Ageing. 2017;46(5):713–721
  3. 3.K. Broczek. Somatyczne przyczyny zaburzeń świadomości u osób w podeszłym wieku. Postępy Nauk Medycznych. 2011;24(8):692-700
  4. 4.J. H. Han. Altered Mental Status in Older Emergency Department Patients. Clinics in Geriatric Medicine. 2013;29(1):101–136
  5. 5.K. M. Yorkston. Communication and Aging. Physical Medicine and Rehabilitation Clinics of North America. 2010;21(2):309-319
  6. 6.K. L. Hildreth. Evaluation and Management of the Elderly Patient Presenting with Cognitive Complaints. Medical Clinics of North America. 2015;99(2):311-335
  7. 7.I. Kaczor. Najczęstsze przyczyny hospitalizacji chorych w wieku sędziwym na oddziale wewnętrznym. Gerontologia Polska. 2011;19(3):146–149
  8. 8.C. Szlejf. Medical adverse events in elderly hospitalized patients: A prospective study. Clinics (Sao Paulo). 2012;67(11):1247–1252

Komentarze (0)

Brak komentarzy.

Zaloguj się aby dodać komentarz.