Publikacje
Recenzowane artykuły przypadków klinicznych

Infekcja SARS-CoV-2 u chorego na raka gruczołowego z mutacją w genie EGFR leczonego erlotynibem – opis przypadku
SARS-CoV-2 infection in a patient with adenocarcinoma with a mutation in the EGFR gene treated with erlotinib - a case report
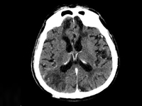
InternaRak płuca odpowiada za największą liczbę zgonów z powodu nowotworów na świecie [1]. Pomimo postępów w leczeniu wskaźniki zachorowalności i śmiertelności wciąż wzrastają. Analiza GLOBOCAN z 2018 roku zaraportowała 2,09 milionów nowych przypadków zachorowań na raka płuca i 1,76 milionów zgonów z powodu raka płuca na świecie [2]. Rozróżnia się dwa główne typy histologiczne: drobnokomórkowy rak płuca (DRP) oraz niedrobnokomórkowy rak płuca (NDRP). NDRP stanowi około 85% wszystkich przypadków raka płuca. Obejmuje różne podtypy, takie jak rak gruczołowy, rak płaskonabłonkowy i rak wielkokomórkowy. Najczęściej występującym podtypem jest rak gruczołowy stanowiący 45% przypadków NDRP. Najważniejszym czynnikiem ryzyka rozwoju raka płuca jest palenie, szczególnie wśród populacji męskiej. Używanie papierosów z filtrem, który obniża ilość substancji smolistych dostających się do płuc, koreluje ze wzrostem zachorowań na gruczolakoraka płuc, co związane jest silniejszą inhalacją karcynogenów do drobnych dróg oddechowych. Inne związki mogące wywierać wpływ na rozwój nowotworu stanowią azbest, radon, nikiel, kadm, chrom, krzemionka i arsen. Rozwój badań molekularnych na początku XX wieku pozwolił na identyfikację podłoża genetycznego choroby wykazując obecność mutacji lub rearanżacji genów TP53, MYC, BCL2 w raku drobnokomórkowym i genów EGFR, KRAS, MET, BRAF, NTRK, ROS1, ALK, RET, PIK3CA w raku niedrobnokomórkowym [3]. Odsetek chorych na NDRP o typie innym niż płaskonabłonkowy z mutacją genu dla receptora naskórkowego czynnika wzrostu (ang. epidermal growth factor receptor, EGFR) wynosi 10-15 (u chorych rasy kausaksiej) do ponad 40% (u chorych rasy azjatyckiej) [4]. Delecja w eksonie 19 oraz substytucja w kodonie 858 (L858R) w eksonie 21 stanowi 80-90% mutacji w obrębie domeny kodującej kinazę tyrozynową genu EGFR [4]. Rak płuca objawia się kaszlem, krwiopluciem, bólem w klatce piersiowej, dusznością i/lub chrypką. W przypadku gruczolakoraka często występują przerzuty do mózgu manifestujące się bólem głowy, wymiotami, zaburzeniami pola widzenia, drgawkami lub deficytami neurologicznymi. Po wykonaniu odpowiednich badań laboratoryjnych, obrazowych oraz ocenie histopatologicznej możliwa jest ocena typu histologicznego i stopnia zaawansowania raka. W zależności od stanu ogólnego pacjenta, stadium zaawansowania nowotworu i chorób towarzyszących stosowane są różne metody leczenia. W przypadku raka o niskim stopniu zaawansowania (stadium I, II oraz IIIA) stosuje się leczenie operacyjne często w skojarzeniu z chemioterapią i radioterapią. U chorych w stopniu IIIB terapią z wyboru jest chemioradioterapia, a w przypadku braku możliwości jej zastosowania, postepowanie jest takie jak u chorych na NDRP w stadium uogólnienia. Terapia chorych z odległymi przerzutami (stopień IV) ma na celu zmniejszenie dolegliwości i objawów postępującej choroby oraz wydłużenie czasu życia. W tym celu stosuje się chemioterapię, immunoterapię lub terapię ukierunkowaną molekularnie [5]. Leczenie ukierunkowane molekularnie raka płuca z mutacją genu EGFR możliwe jest dzięki zastosowaniu inhibitorów kinazy tyrozynowej (IKT). IKT hamują wewnątrzkomórkową fosforylację EGFR co prowadzi do zatrzymania różnicowania, proliferacji i angiogenezy komórek. IKT EGFR dzielą się na trzy generacje. Erlotynib oraz gefitynib to odwracalne IKT pierwszej generacji. Są skuteczne w przypadku obecności najczęstszych mutacji w eksonie 19 i 21. Nieodwracalne IKT drugiej generacji, do których należą afatynib i dakomitynib, wykazują szersze spektrum działania. Blokują one przekazywanie sygnałów utworzonych przez receptory ErbB1 (EGFR), ErbB2 (HER2), ErbB3 i ErbB4 oraz mogą być skuteczne w przypadku obecności rzadkich mutacji w eksonach 18, 19, 20 i 21. Możliwe jest nabycie oporności na IKT pierwszej i drugiej generacji. Ozymertynib, nieodwracalny IKT trzeciej generacji, poprzez działanie na komórki z mutacją T790M w eskonie 20 genu EGFR przełamuje oporność na leczenie IKT EGFR starszych generacji, ale może być też stosowany w 1. linii leczenia u chorych na NDRP niezależnie od rodzaju mutacji w eksonach 18-21 genu EGFR [6]. Globalna pandemia COVID-19 stanowi wyzwanie terapeutyczne dla opieki zdrowotnej, zwłaszcza wśród chorych onkologicznych. Analiza retrospektywna z Wuhan wykazała, że ryzyko infekcji COVID-19 było 2,31 razy większe wśród chorych z chorobą nowotworową niż u osób zdrowych. Palenie tytoniu, wiek, płeć męska, stan choroby nowotworowej, zły stan sprawności (≥2 wg skali ECOG) i leczenie hydroksychlorochiną z azytromycyną stanowiły czynniki ryzyka zwiększonej 30-dniowej śmiertelności wśród chorych na COVID-19 [7]. Wizyty w szpitalu podczas pandemii oraz stosowanie leków o działaniu immunosupresyjnym stanowią główne czynniki sprzyjające infekcji COVID-19 u chorych na nowotwory płuc [8]. Badanie przeprowadzone w Chinach, wykazało, że chorzy na NDRP powyżej 60 roku życia są szczególnie narażeni na infekcję COVID-19 i cięższy przebieg choroby. Wiele objawów ze strony układu oddechowego w COVID-19 tj. duszność, kaszel, gorączka pokrywa się z objawami raka płuca. Stwarza to trudność w diagnostyce różnicowej pomiędzy tymi dwoma jednostkami chorobowymi. Rozpoznanie COVID-19 jest zwykle dokonywane na podstawie wywiadu klinicznego i testu PCR i/lub testu antygenowego w próbce z wydzieliny jamy nosowo-gardłowej. Pomocne jest także rozpoznanie typowych zmian widocznych w tomografii komputerowej klatki piersiowej. U 75% chorych obecne są wieloogniskowe zmętnienia typu matowego szkła z predylekcją do płatów dolnych [9]. Badanie przeprowadzone w Nowym Jorku wśród chorych na raka płuca ze współistniejącą infekcją SARS-CoV2 wykazało konieczność hospitalizacji u 62% pacjentów, z czego 21% wymagało hospitalizacji na OIOM. Spośród 102 chorych biorących udział w badaniu, 25% zmarło. Przeżycie było w większym stopniu zależne od współwystępowania POChP (przewlekłej obturacyjnej choroby płuc) i palenia tytoniu niż histologii guza lub ekspresji PD-L1 (ang. programmed death ligand 1) na komórkach nowotworowych [10].

Radykalna radioterapia konformalna w leczeniu nawracającej, pozasutkowej postaci choroby Pageta - opis przypadku.
Radical conformal radiotherapy in treatment of recurrent, extramammary Paget disease - case report.
InternaChoroba Pageta jest rzadkim procesem nowotworowym wywodzącym się z gruczołów apokrynowych i ekrynowych skóry [1]. Wyróżnia się postać sutkową (ang. mammary Paget disease, MPD) i postać pozasutkową (ang. extramammary Paget disease, EMPD), stanowiące odpowiednio 90% i 10% wszystkich przypadków choroby Pageta [2]. Częstość występowania EMPD w populacji europejskiej szacuje się na 0,7 na 100 000 osób/rok [3]. EMPD częściej rozpoznawana jest u kobiet, szczególnie rasy kaukaskiej, między 50 a 80 r.ż. [4], u których przeważnie lokalizuje się na sromie i kroczu oraz w okolicy okołoodbytniczej, zaś u mężczyzn na prąciu i worku mosznowym [5,6]. Objawy choroby są mało charakterystyczne, co w większości przypadków utrudnia postawienie właściwego rozpoznania i tym samym wydłuża czas do rozpoczęcia leczenia. Jedynie badanie histopatologiczne wyciętej zmiany chorobowej pozwala na postawienie prawidłowej diagnozy oraz ocenę stopnia inwazyjności procesu [6]. Podstawową metodą leczenie pozostaje radykalne leczenie chirurgiczne [7]. Z uwagi na wysoki odsetek nawrotów [4,8] część chorych wymaga leczenia uzupełniającego [6]. W przypadkach niekwalifikujących się do operacji stosuje się miejscową lub systemową chemioterapię lub radioterapię [9,10].Z uwagi na bardzo rzadkie występowanie choroby, brak ustalonych schematów leczenia, obserwowane niepowodzenia i podejmowane kolejne próby interwencji chirurgicznych, prezentowany przypadek stanowi przykład możliwości leczenia EMPD z użyciem promieniowania jonizującego.

Gdy Twój pacjent śpi za dużo, czyli zaburzenia świadomości u pacjenta geriatrycznego – opis przypadku
When your patient sleeps too much, disturbance of consciousness in the case of a geriatric patient – case report
InternaNa świecie, w tym również w Polsce, obserwuje się systematyczny wzrost udziału w populacji ogólnej ludzi w wieku podeszłym. Starzenie się społeczeństwa oraz wiążący się z tym wzrost liczby pacjentów geriatrycznych stanowi obecnie kolejne z wyzwań, któremu sprostać musi medycyna XXI wieku. Pacjent geriatryczny według definicji Światowej Organizacji Zdrowia WHO (World Health Organization), to chory, który osiągnął przynajmniej 60 lat. Badanej osobie towarzyszy zazwyczaj znaczna ilość chorób, co jest typowe dla wieku starczego i współistnieje z ryzykiem nagłego pogorszenia stanu zdrowia lub zgonu [1]. Zgodnie z potrzebą, na całym świecie wdraża się szereg rozwiązań, prowadzących do udoskonalenia gałęzi medycyny jaką jest geriatria. Kompleksowa ocena geriatryczna (Comprehensive geriatrc assessment, CGA) to narzędzie, na które składa się zespół skal i testów, które pozwalają na holistyczną ocenę pacjentów ułatwiając wykrycie przyczyny pogorszenia się stanu zdrowia i wybór optymalnej terapii. Pełna ocena pacjenta w zależności od jego stanu klinicznego trwa od 30 do 60 minut [2]. Choroby współistniejące oraz leki przyjmowane przez pacjentów geriatrycznych niejednokrotnie wymagają znacznej modyfikacji ogólnie przyjętych standardów leczenia. Duża liczba stanów nagłych u pacjentów w wieku podeszłym przebiega z zaburzeniami świadomości. Trudności w prawidłowym postrzeganiu otaczającego świata, które napotykają pacjenci w znacznym stopniu komplikują możliwość dokładnego zebrania wywiadu lekarskiego, jak również przeprowadzenie badania fizykalnego i wdrożenie właściwych działań diagnostyczno-leczniczych.

Termosemiotyka przewlekłego zapalenia migdałków
Thermosemiotics of chronic tonsillitis
InternaBadania Cel - opracowanie termosemiotyki przewlekłego zapalenia migdałków poprzez określenie specyfiki fal podczerwonych w podżuchwowych oraz na na dłoniach, kolanach i na środku sklepienia stopy u zdrowych osób oraz porównanie uzyskanych wyników z odpowiednimi wskaźnikami pacjentów z przewlekłym zapaleniem migdałków. z przewlekłym zapaleniem migdałków. Najczęstsze Najczęstszymi patogenami w zakaźnym zapaleniu migdałków są Streptococcus spp. rzadko rozwija się na tle ostrej choroby układu choroby układu oddechowego, ale zwykle objawia się jako odrębna choroba. Tłumienie lokalnej odpowiedzi immunologicznej odpowiedź na zimno, niedożywienie, wyczerpanie fizyczne, zablokowanie dróg nosowych przez tkankę gruczołową, przewlekłe zapalenie zatok, odchylenie przegrody nosowej, przewlekły nieżyt nosa są korzystnymi warunkami dla powstawania zapalenia migdałków [1-3]. migdałków [1-3]. W praktyce klinicznej W praktyce klinicznej często konieczne jest odróżnienie ostrego zapalenia migdałków od przewlekłego, ponieważ są to zasadniczo różne choroby. Nawracające ostre zapalenie migdałków, które jest często niedostatecznie leczone, jest często postrzegane jako czynnik poprzedzający rozwój przewlekłego zapalenia migdałków. czynnikiem poprzedzającym rozwój przewlekłego zapalenia migdałków. Pęcherzykowa postać zapalenia migdałków jest jest uważana za najbardziej niekorzystną, ponieważ prowadzi do powstawania blizn w tkance limfatycznej co zmniejsza jej właściwości ochronne. Kamienie migdałkowe są składające się ze złuszczonego nabłonka, drobnoustrojów, wysięku zapalnego. Są trudne do ewakuacji i powodują rozszerzenie luki, tworząc torbiele retencyjne [4, 5]. torbiele retencyjne [4, 5]. Zapalenie migdałków jest znane z powikłań, takich jak zapalenie mięśnia sercowego, choroby reumatyczne, zapalenie nerek. Zaostrzenie może wystąpić na tle przewlekłego procesu zapalnego. Dlatego szczególną uwagę należy należy zwrócić szczególną uwagę na historię zgłaszaną przez pacjenta, w szczególności częstotliwość i czas trwania zaostrzeń. Zaostrzeniu przewlekłego zapalenia migdałków towarzyszą objawy ogólnego zatrucia - gorączka, bóle stawów, zmniejszona tolerancja na wysiłek fizyczny, zmęczenie. wysiłek fizyczny, zmęczenie. Migdałki z reguły są powiększone, mają podśluzówkowe ropne pęcherzyki (jednak przy braku objawów ostrego zapalenia migdałków, może występować przekrwienie i naciek zapalny), ropne masy caseosus masy w bliznowatych lukach. Regionalne węzły chłonne są powiększone, gęste, czasami bolesne. Często obserwuje się zespół migdałkowo-sercowy z subiektywnymi subiektywne odczucia bólu w okolicy serca, zaburzenia rytmu serca, kołatanie serca. Mogą występować objawy naczynioruchowe - bladość lub przekrwienie skóry, kserodermia lub zwiększona potliwość, czynnościowe szmery serca, zapalenie mięśnia sercowego [4].Cel badań - opracowanie termosemiotyki przewlekłego zapalenia migdałków poprzez określenie specyfiki fal podczerwonych w okolicy podżuchwowej, na dłoniach, w projekcji na dłoniach, w rzucie rzepki i w środku sklepienia stopy zarówno u pacjentów z przewlekłym zapaleniem migdałków, jak i u zdrowych pacjentów z przewlekłym zapaleniem migdałków i osób zdrowych.

Wpływ diety wegetariańskiej na INR u pacjentki leczonej antykoagulantami
Effect of vegetarian diet on INR in patient treated with anticoagulants
Interna<p>Sól sodowa warfaryny (łac. Warfarinum natricum), występująca pod handlową nazwą Warfin, to skuteczny lek przeciwkrzepliwy stosowany w profilaktyce i leczeniu zakrzepicy. Znajduje powszechne zastosowanie po zabiegach kardiochirurgicznych, zwłaszcza po wszczepieniu sztucznej protezy zastawki serca. Zadaniem Warfinu jest niedopuszczenie do wykrzepiania krwi w elementach protez i zastawek oraz wspomaganie rozpuszczania powstałych skrzeplin.</p><p>Pacjenci muszą kontynuować leczenie antykoagulantami do końca życia. Pozostają także pod stałą opieką lekarską poradni kardiologicznej. Na ogół co 4-6 tygodni powinni monitorować czas protrombinowy (PT), czyli czas tworzenia się skrzepu krwi w celu sprawdzenia, jak działają czynniki krzepnięcia wchodzące w tzw. zespół protrombiny. Wynik prezentowany jest pod nazwą międzynarodowego współczynnika znormalizowanego INR (<i>ang. International</i><i>Normalized Ratio)</i> [1]. W celu utrzymania stałych wartości gęstości krwi, pacjenci powinni przestrzegać odpowiednio dobranej, dobrze zbilansowanej diety, dzięki czemu zapewnią organizmowi zalecaną codzienną dawkę witaminy K zawartą w pokarmach. Zbyt wysoka dawka witaminy K w stosunku do zapotrzebowania organizmu może w sposób istotny wpływać na wartość INR w badanej krwi i stwarzać trudności w doborze dawki antywitaminy K [2].</p><p></p><p>Istnieją trzy sklasyfikowane formy witaminy K: K1 i K2 – pochodzące z naturalnego źródła oraz K3 będąca syntetycznym związkiem chemicznym. Witamina K1 (filochinon) jest syntetyzowana wyłącznie w roślinach i przyjmowana z pokarmem, zaś K2 to grupa związków określanych mianem menachinonów (MK-n) [3]. Związki te syntetyzowane są przez bakterie jelitowe. Występują głównie w produktach pochodzenia zwierzęcego, także w produktach podlegających fermentacji (tabela 1).</p><p>Tabela 1.</p><p>Zalecenia FAO (<i>ang. Food and Agriculture Organization of the United Nations</i>) oraz WHO (ang. <i>World Health Organization), </i>dotyczące wystarczającego spożycia AI (<i>ang. Adequate</i><i>Intake</i>), wyrażone w μg filochinonu/os/d od 2008 roku nie uległy zmianie i wynoszą dla kobiet ≥ 19 lat 65 μg filochinonu/os/d natomiast dla mężczyzn ≥ 19 lat 55 μg filochinonu/os/d [5]. Obecnie przyjmuje się, że wskaźnik terapeutyczny INR w leczeniu przeciwzakrzepowym u pacjentów po operacjach wszczepienia sztucznych zastawek powinien mieścić się w przedziale 2,5 – 3,5 bez względu na płeć [6, 7]. Skuteczność kliniczna Warfinu zależy od stężenia witaminy K w osoczu, na który ma wpływ ilość spożywanej witaminy K przyjmowanej w pokarmach i pochodzącej z suplementacji. Amerykańska instytucja rządowa Agencja Żywności i Leków FDA (<i>ang.</i><i>Food and Drug</i><i>Administration)</i> podaje, że dzienna dawka witaminy K w ilości 400 μg i więcej może kompletnie niwelować efekty przeciwzakrzepowe przyjmowanego przez pacjenta Warfinu [8, 9].</p><p>Dobór odpowiednich składników pokarmowych, zawierających witaminę K oraz rozłożenie ich w posiłkach to duże wyzwanie dla dietetyka. Biorąc pod uwagę ogólny stan pacjenta oraz jego wiek, płeć, masę ciała, choroby współistniejące, inne leki i suplementy, które przyjmuje, a także swoiste zachowania behawioralne (dieta, ćwiczenia fizyczne), dietetyk może w sposób prawidłowy dostosować indywidualny plan żywieniowy dla konkretnego pacjenta. Im więcej informacji otrzyma dietetyk, tym dokładniejszy będzie wynik jego pracy. Zielone części warzyw i owoców charakteryzują się wysoką zawartością witaminy K1 (filochinonu), zatem ustalając plan żywieniowy dla pacjenta, należy przede wszystkim wziąć ten czynnik pod uwagę.</p><p></p><p>Witamina K bierze także udział w metabolizmie kości. Długotrwałe stosowanie Warfinu może zaburzać homeostazę gospodarki wapniowej w organizmie pacjenta, czego następstwem może być osteopenia, a w konsekwencji osteoporoza. Są to jednak następstwa odległe. Do ich występowania mogą się przyczynić dodatkowe czynniki, takie jak: wiek, płeć, aktywność fizyczna, uwarunkowania genetyczne [10].</p><p>Ważnym elementem jest absorpcja witaminy K w organizmie. Wchłanianie filochinonu wymaga współudziału żółci i soku trzustkowego. Jest to witamina rozpuszczalna w tłuszczach, więc dodanie ich do posiłku powoduje wyższą jej przyswajalność. Witamina K wchłaniana jest w jelicie cienkim a magazynowana jest w wątrobie. Istnieją różnice pomiędzy wchłanianiem witamin K1 i K2. Pierwsza z nich jest absorbowana zaledwie w 10-15% całkowitej ilości tej witaminy przyjętej z pokarmem, natomiast K2 wchłania się niemal całkowicie i ma długi czas biologicznego półtrwania [10]. W obrazie całościowym witamina K modyfikuje stabilność koagulacyjną, jednak nie należy wykluczać jej z diety pacjenta ponieważ jest niezbędna do prawidłowego funkcjonowania organizmu człowieka. Oprócz zaangażowania w proces krzepnięcia krwi, bierze udział w utrzymaniu właściwej homeostazy tkanki kostnej oraz w prawidłowym funkcjonowaniu układu nerwowego i pracy mózgu.</p><p></p><p>Można przypuszczać, że prawidłowo zbilansowany plan dietetyczny przyczyni się do utrzymania prawidłowego stężenia czynników krzepnięcia w konfrontacji z antykoagulantami oraz zminimalizuje wahania wskaźnika krzepliwości krwi.</p>

Problemy diagnostyczne oraz postępowanie terapeutyczne w przypadku neurokiły
Diagnostic problems and therapeutic procedures in the case of neurosyphilis
InternaWspółcześnie kiła stanowi coraz większy problem epidemiologiczny, czego dowodem jest rosnąca ilość nowych zakażeń, również w Polsce [1]. Niekorzystnym zjawiskiem jest wzrost częstości występowania stadium późnego infekcji Treponema pallidum, w tym kiły ośrodkowego układu nerwowego (kiła OUN) [2]. W zaawansowanym stadium kiły, a zwłaszcza w przypadku neurokiły, zwiększa się ryzyko wystąpienia trwałych powikłań, w tym wiądu rdzenia, porażenia postępującego, udaru mózgu i innych [3]. Kiła OUN stanowi duże wyzwanie diagnostyczne, ponieważ objawy zakażenia mogą imitować inne pierwotne schorzenia OUN lub choroby ogólnoustrojowe z wtórnym zajęciem OUN. Dlatego często bywa nazywana „wielkim imitatorem” (ang. „the great imitator”) [4, 5, 6, 7].

Wewnątrzmaciczne zahamowanie wzrastania płodu w przebiegu Zespołu Silver-Russella - opis przypadku
Intrauterine growth restriction in the course of Silver-Russell syndrome - a case report
Interna<p>Wewnątrzmaciczne ograniczenie wzrastania płodu (IUGR) stanowi jedno z poważniejszych powikłań ciąży. Dotyczy średnio 8% żywo urodzonych noworodków w krajach rozwiniętych, a w krajach rozwijających się nawet 15-20%[1, 2, 3].</p><p>Wiąże się ze zwiększonym odsetkiem zgonów wewnątrzmacicznych oraz powikłań ciąży, m.in. porodów przedwczesnych i zgonów okołoporodowych. U dzieci obserwuje się nieprawidłowości w rozwoju psychofizycznym oraz częstsze występowanie, także w wieku dorosłym, takich schorzeń jak otyłość, cukrzyca, zespół metaboliczny[1, 2, 7, 8 , 9]. IUGR oznacza niezdolność płodu do osiągnięcia pełnego potencjału wzrostowego w trakcie życia wewnątrzmacicznego [4, 5, 6]. Wielokrotnie zamiennie używane jest określenie hypotrofia. Według większości autorów IUGR rozpoznajemy, gdy dwukrotnie wykonane w badaniu ultrasonograficznym pomiary płodu wykazują zbyt wolne tempo wzrastania i/lub, gdy masa /długość ciała urodzeniowa jest mniejsza niż 2 SD ( odchylenia standardowe), lub 10. centyla w stosunku do wieku ciążowego. W ciężkich postaciach masa urodzeniowa lub AC ( obwód brzucha) odpowiadają wartościom poniżej 3. Centyla. [6, 8]. Etiologia wewnątrzmacicznego zahamowania wzrastania jest wieloczynnikowa i pomimo postępu w medycynie często, nawet w 40%, nie udaje się jej zidentyfikować . Wyróżniamy przyczyny matczyne ( m.in.: nadciśnienie tętnicze, choroby nerek, układu krążenia, cukrzyca, trombofilie, zespół antyfosolipidowy, czynniki genetyczne, leki), płodowe(głównie nieprawidłowości genetyczne, wady wrodzone, infekcje wewnątrzmaciczne, bloki metaboliczne), łożyskowe (nieprawidłowości w budowie i wydolności łożyska, stan przedrzucawkowy), środowiskowe ( niski status socjoekonomiczny matki, używki, niedobory żywieniowe) [1, 9, 10, 11, 12].</p><p>Postępowanie w przypadku podejrzenia IUGR powinno obejmować dokładny wywiad ogólnolekarski i położniczy, ocenę czynników ryzyka w celu wyłonienia ciężarnych wymagających wzmożonego nadzoru oraz wykonanie szczegółowych badań obrazowych i laboratoryjnych. Ultrasonografia płodu (ocena anatomii, wielkości , proporcji, dynamiki wzrastania) jest podstawowym badaniem diagnostycznym. Konieczne jest także monitorowanie dobrostanu płodu za pomocą kardiotokografii (ktg), oceny przepływów krwi w wybranych naczyniach ( usg doppler), objętości płynu owodniowego i profilu biofizycznego. Wykonanie odpowiednich badań laboratoryjnych ma na celu potwierdzenie lub wykluczenie chorób przewlekłych matki, infekcji wewnątrzmacicznych, stanu przedrzucawkowego, zespołu HELLP i innych patologii ciąży mogących mieć wpływ na zaburzenia wzrastania [12,13]. W przypadku braku uchwytnych przyczyn prowadzących do wystąpienia IUGR, istotne znaczenie mają badania genetyczne. Uważa się, że zasadniczy wpływ na masę urodzeniową dziecka mają geny matki. Jednak także wiele aberracji chromosomowych u płodu kojarzy się z wewnątrzmacicznym zahamowaniem wzrastania [6, 12]. Przykład stanowi zespół Silver- Russella (SRS), który jest bardzo zróżnicowany pod względem rodzaju występujących zmian genetycznych oraz sposobu ich dziedziczenia. Mutacje dotyczą między innymi chromosomu 11, 7 i wiążą się z charakterystycznymi cechami fenotypowymi, do których należą przede wszystkim zmiany w obrębie kości pod postacią : skoliozy, dysproporcji w długości kończyn, zrośnięcia palców, zmian w stawie łokciowym. Według danych z piśmiennictwa od 1:50 000 do 1:100 000 dzieci rodzi się z tym zespołem [14, 15, 16].</p><p>Głównym celem opieki nad matką i dzieckiem w ciąży powikłanej wewnątrzmacicznym zahamowaniem wzrastania płodu jest zapewnienie i ścisła ocena dobrostanu płodu oraz wybór optymalnego terminu porodu [6, 12].</p>

Wykorzystanie Metod Radiologii Inwazyjnej w Leczeniu Pęknięcia Wątroby u Położnicy z Zespołem HELLP
Application of Methods of Invasive Radiology in Treatment of Liver Rupture in Woman after Delivery with HELLP Syndrome
InternaChoroby wątroby w ciąży są zjawiskiem rzadkim. Dzielimy je na uzależnione od ciąży, czyli indukowane zjawiskiem jakim jest ciąża oraz na niezależne od ciąży, występujące jako samodzielne zjawiska chorobowe [2].<br />Obok zespołu HELLP do chorób zależnych od ciąży zalicza się: wymioty ciężarnych, śródwątrobową cholestazę ciężarnych, stan przedrzucawkowy i rzucawkę oraz ostry tłuszczowy zanik wątroby. Schorzenia te dotyczą i wikłają około 5,5% - 13,5% ciąż. Stan przedrzucawkowy, rzucawka, zespół HELLP i ich powikłania jak zawał wątroby, pęknięcie/krwiak wątroby, związane są z nadciśnieniem w ciąży. Najczęściej występującym schorzeniem jest stan przedrzucawkowy i rzucawka, które dotyczą 5-10% ciąż, a u około 5% do 10% z nich dochodzi do rozwoju zespołu HELLP [3-5]. Szacunkowo występuje on u ok.6 ciężarnych na 1000 ciąż [2].<br />Koncepcja i utworzenie akronimu HELLP (H=hemoliza, EL=podniesienie poziomu enzymów wątrobowych we krwi, LP=obniżony poziom płytek krwi ) zostało wprowadzone przez Louisa Weinsteina, który w 1982 roku przedstawił wyniki analizy grupy ciężarnych kobiet o wybitnie wyrażonych następstwach stanu przedrzucawkowego i rzucawki [2,6]. Badacz wykazał, że u wszystkich pacjentek obecna była anemia hemolityczna związana z mikroangiopatią, zmiana kształtu erytrocytów w rozmazie obwodowym, trombocytopenia od umiarkowanej do ciężkiej oraz nieprawidłowe testy enzymatyczne funkcji wątroby zazwyczaj w połączeniu z bólem w nadbrzuszu, nudnościami i wymiotami, a ciężkie nadciśnienie i białkomocz często współistniały z tymi objawami [3,6]. Od ukazania się pracy L.Weinsteina inni wnieśli duży wkład badawczy celem zrozumienia patogenezy, naturalnej historii, spektrum klinicznego, klasyfikacji i strategii postępowania w zakresie omawianego zespołu [3].<br />Zespół HELLP zazwyczaj rozwija się nagle w 2-3 trymestrze ciąży lub bezpośrednio, do 48 godzin po porodzie [5,7,8]. Zwykle towarzyszy stanowi przedrzucawkowemu/rzucawce jednakże może wystepować samodzielnie. Podobnie jak w wymienionych schorzeniach prawdopodobną przyczyną zespołu jest nieprawidłowy rozwój funkcji i niedokrwienie łożyska wywołujące stres oksydacyjny co powoduje uwalnianie czynników systematycznie uszkadzających śródbłonek naczyniowy przez aktywację płytek, skurcz naczyniowy i utratę typowej dla stanu ciąży relaksacji mięśniówki naczyniowej [3,9-13].<br />Wątroba zajmuje centralne miejsce w patogenezie zespołu HELLP i stanowi klucz do zrozumienia charakteru zaburzeń. Dysfunkcja i śmierć okołowątrobowych hepatocytów u danej pacjentki prawdopodobnie koreluje z nasileniem schorzenia. Wykryte wcześniej białko CD95 (APO-1, FAS) odgrywające ważną rolę w patogenezie chorób wątroby, pośredniczy w apoptozie hepatocytów drogą wiązania z Fas-ligand proteiną (ligandem dla receptora Fas) należącą do rodziny receptorów TNF. Fas-ligand produkowany jest przez łożysko, a jego poziom w surowicy wzrasta w okresie choroby i koreluje z jej natężeniem. Blokowanie sygnalizacji CD95 redukuje aktywność hepatocytotoksyczną surowicy w zespole HELLP [15].<br />Ten model patofizjologii zespołu HELLP potwierdziły inne badania, wykazując, że wątroba jest celem a łożysko inicjatorem zaburzeń [3].<br />Wielu autorów podkreśla podobieństwo zespołu HELLP do Zespołu Uogólnionej Odpowiedzi Zapalnej (ang. SIRS), o czym może świadczyć wysoki poziom mediatorów zapalnych w surowicy i w tkankach wątroby oraz dostępny klinicznie, laboratoryjny parametr jak poziom leukocytozy rosnący proporcjonalnie do zawansowania choroby [15-17].<br />Aktualnie istnieją dwa zasadnicze laboratoryjne systemy klasyfikacji zespołu HELLP : Mississippi i Tennessee, które zostały stworzone na potrzeby diagnostyki, oceny zaawansowania choroby i oceny skuteczności leczenia [2,3]. Traktowane osobno stwarzają też płaszczyznę porównawczą dla rezultatów badawczych. Powstały w latach 80-tych w ośrodkach naukowych Uniwersytetów Tennessee i Mississippi.<br />Klasyfikacja Mississippi bierze pod uwagę wartości 3 zasadniczych parametrów mierzonych w surowicy krwi: płytek, enzymów wątrobowych - ASPAT i ALAT oraz dehydrogenazy mleczanowej - LDH, korelującej z intensywnością hemolizy. O przynależności do klasy ostatecznie decyduje najniższa ilość płytek w przebiegu choroby. Stopień 1 jest związany z najcięższą postacią choroby, a stopień 3 z najlżejszą. W tej klasyfikacji wszystkie 3 parametry muszą być nieprawidłowe aby rozpoznać zespół HELLP.<br /><br />Klasyfikacja Mississippi :<br />1. Liczba płytek 50 tys., ASPAT i/lub ALAT 70 IU/L, LDH 600 IU/L<br />2. Liczba płytek 100 tys., ASPAT i/lub ALAT 70 IU/L, LDH 600 IU/L<br />3. Liczba płytek 150 tys., ASPAT i/lub ALAT 40 IU/L, LDH 600 IU/L<br /><br />Drugim systemem klasyfikacji, który upowszechnił się to klasyfikacja Tennessee. Definiuje ona tzw. prawdziwy (całkowity) i niepełny (częściowy) zespół HELLP.<br /><br />Klasyfikacja Tennessee:<br />1. Całkowity zespół HELLP: liczba płytek 100 tys., ASPAT 70 IU/L; LDH 600 IU/L lub bilirubina 1.2mg/% i nieprawidłowy obraz erytrocytów we krwi obwodowej.<br />2. Częściowy zespół HELLP- ciężki stan przedrzucawkowy + jeden z następujących objawów laboratoryjnych: ELLP- brak dowodów na hemolizę, EL- tylko łagodnie podwyższone enzymy wątrobowe, HEL- tylko hemoliza i podwyższone enzymy wątrobowe, LP- trombocytopenia. Odpowiednio noszą one nazwę zespołu ELLP, EL, HEL i LP.<br /><br />Początkowo niepełne kryteria mogą stopniowo przejść w pełne i dać prawdziwy zespół HELLP. Wyniki leczenia ciężarnych i płodów pogarszają się stopniowo od stanu przedrzucawkowego poprzez częściowy do całkowitego zespołu HELLP, co koreluje ze stopniem zaawansowania choroby [18].<br />Żadna z tych klasyfikacji nie jest w pełni zadowalająca, gdyż, zanim jeszcze zostaną wykonane jakiekolwiek badania laboratoryjne, nie uwzględnia objawów podmiotowych, które mogą być bardzo istotne przy podejrzeniu choroby ( jak np. bóle w prawym górnym kwadrancie brzucha). Ponadto stosowane alternatywnie nie stwarzają jednolitej płaszczyzny dla statystycznego przedstawienia problemu i wyników leczenia.<br />Krwiak podtorebkowy/pęknięcie wątroby często występują razem i są stanami poważnie zagrażającymi życiu matki i płodu, o zwykle dramatycznym przebiegu. Opisywana w literaturze śmiertelność związana z zespołem HELLP sięga u matek od 1% do 5%, a u płodów od 7,7% do 60%, natomiast w sytuacji powikłania tego zespołu wystąpieniem krwiaka wątroby/pęknięciem wątroby śmiertelność gwałtownie wzrasta odpowiednio do 50% i 80% [19]. Przedstawiane w literaturze światowej dane dotyczące występowania krwiaka wątroby/pęknięcia wątroby w ciąży mają szeroki zakres od 1 przypadku na 40 000 do 1 na 250 000 ciężarnych [20-22].<br />Najczęściej występującymi objawami klinicznymi są: ból w prawym górnym kwadrancie lub w nadbrzuszu, silny ból prawego barku, nudności, wymioty, napięcie powłok brzusznych, wstrząs hipowolemiczny [19,21,22]. Jeżeli u pacjentki z ciężką rzucawką pojawia się nagle wyżej opisany ból („czerwona flaga” dla lekarza) należy przyjąć z wysokim prawdopodobieństwem wystąpienie krwawienia lub pęknięcie wątroby, co równoznaczne jest z wystąpieniem nagłego zagrożenia życia i koniecznością pilnej interwencji [3,19].<br />Umiejscowienie krwiaka podtorebkowego wątroby dotyczy zwykle prawego płata, na jego przedniej lub bocznej powierzchni z pęknięciem wzdłuż dolnego brzegu [19]. Rzadko lewego płata wątroby i wtedy dolegliwości bólowe mogą dotyczyć lewego barku [20].<br />Podstawą diagnostyki tego powikłania są: badanie kliniczne, badania laboratoryjne oraz techniki obrazowania wątroby takie jak: USG, TK i NMR [22].<br />

Zaburzenia erekcji w chorobach somatycznych
Erectile dysfunction in somatic diseases
InternaZgodnie z definicją mianem zaburzeń erekcji (ED, ang. erectile dysfunction) określa się trwałą niezdolność do osiągnięcia i/lub utrzymania erekcji wystarczającej do prowadzenia satysfakcjonującej aktywności płciowej (objawy muszą utrzymywać się przez minimum trzy miesiące, chyba że ED jest powiązane z urazem lub zabiegiem chirurgicznym). Szacuje się, że w Polsce problem ten dotyczy 3 mln mężczyzn, a w populacji z chorobami układu sercowonaczyniowego (CVD, ang. Cardiovascular Disease) dotyka blisko 80% pacjentów.

Zastosowanie lipegfilgrastymu w pierwotnej profilaktyce gorączki neutropenicznej w trakcie chemioterapii dosedense u pacjentki z rakiem piersi — opis przypadku
Administration of lipegfilgrastim in primary prophylaxis of febrile neutropenia during dose-dense chemotherapy in a patient with breast cancer — case report
InternaZastosowanie we wczesnym raku piersi chemioterapii uzupełniającej dose-dense czyli „gęstą dawką” pozwoliło istotnie poprawić odsetek czteroletnich przeżyć wolnych od choroby (DFS, disease-free survival), szczególnie w grupie chorych młodych i z tzw. potrójnie ujemnym (ang. tripple negave) fenotypem raka piersi. Ten sposób podawania chemioterapii wiąże się z istotnie wyższym (ok. 20%) ryzykiem gorączki neutropenicznej (GN). W ramach profilaktyki pierwotnej, zgodnie z aktualnymi standardami używa się czynników stymulujących tworzenie kolonii granulocytów, głównie formy długodziałającej — pegfilgrastymu. Od niedawna dostępny jest nowy długodziałający G-CSF — lipegfilgrastym.

Zarys problemu chorób rzadkich na podstawie omówienia serii przypadków pacjentów z chorobą Gauchera
An outline of the problem of rare diseases based on the presentation of case series of patients with Gaucher disease
InternaChoroba rzadka dotyczy mniej niż 1 osoby/2000 mieszkańców. Dotychczas wykryto 6000 chorób rzadkich. Każdy człowiek jest nosicielem 5–10 genów dla chorób rzadkich (najczęściej geny recesywne). Rzadkość występowania tych schorzeń prowadzi zwykle do opóźnienia postawienia prawidłowego rozpoznania, czasem o wiele lat.

Wspólne podłoże immunogenetyczne zapalenia części płaskiej ciała rzęskowego i stwardnienia rozsianego — opis przypadku
Common immunogenic background of pars planitis and multiple sclerosis — a case report
InternaStwardnienie rozsiane (SM) jest najczęstszą chorobą ośrodkowego układu nerwowego (OUN) o nieznanej etiologii. Istnieje hipoteza o interakcji między głównym kompleksem zgodności tkankowej (HLA), aktywacją limfocytów T i nieznanymi czynnikami inicjującymi zaburzenia odpowiedzi immunologicznej. Wykazano zwiększoną częstość występowania zapalenia błony naczyniowej u chorych z SM, którego najczęstszą postacią jest zapalenie części płaskiej ciała rzęskowego (PP).