Publications

Peer-reviewed clinical case reports

e-ISSN: 2084-2708 (primary version)|p-ISSN: 2083-0033 (print version)
Rak piersi w ciąży – propozycja leczenia operacyjnego z jednoczasową rekonstrukcją gruczołu piersiowego
Gynecology
#93

Rak piersi w ciąży – propozycja leczenia operacyjnego z jednoczasową rekonstrukcją gruczołu piersiowego

Breast cancer in pregnancy – a proposal of surgical treatment with immediate reconstruction of breast

Gynecology
Sitarska M., Zawadzki M., Witkiewicz W.

Breast cancer in pregnant women includes cases in which breast cancer develops during pregnancy or within 12 months of delivery and occurs in 1 to 3 in 10,000 pregnancies, representing 0.2–4% of all breast cancers [1]. Statistically, it most often occurs in women aged 50–69 years, while it is not common in women under 40 years of age. However, recent observations indicate an increase in the number of breast cancer cases diagnosed before menopause [2]. The trend in the incidence in premenopausal women (20–49 years of age) is upward, and over the last three decades, the incidence in this age group has almost doubled [3]. This indicates an increase in the number of cases due to the clearly visible tendency to become pregnant later in the reproductive years. The average age of breast cancer patients at the time of pregnancy is 33 years [4]. An increased risk of developing the disease also applies to women who carry constitutive mutations in the BRCA1 gene and those with a family history of breast cancer. Diagnosis and treatment of cancer patients during pregnancy are difficult due to nonspecific symptoms overlapping with pregnancy-related ailments and symptoms. Once a cancer diagnosis is confirmed, decisions regarding further treatment should be aimed at both optimal maternal treatment and maintaining normal fetal development [5].

Wykorzystanie Metod Radiologii Inwazyjnej w Leczeniu Pęknięcia Wątroby u Położnicy z Zespołem HELLP
Internal Medicine
#92

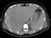
Wykorzystanie Metod Radiologii Inwazyjnej w Leczeniu Pęknięcia Wątroby u Położnicy z Zespołem HELLP

Application of Methods of Invasive Radiology in Treatment of Liver Rupture in Woman after Delivery with HELLP Syndrome

Internal Medicine
Mielczarek B., Durek G., Orchowska-Jędrzejewska A.

Liver diseases in pregnancy are rare. They are divided into pregnancy-related diseases, i.e., induced by pregnancy, and pregnancy-independent diseases, occurring as standalone conditions [2].<br />In addition to HELLP syndrome, pregnancy-related diseases include: hyperemesis gravidarum, intrahepatic cholestasis of pregnancy, preeclampsia and eclampsia, and acute fatty liver atrophy. These conditions affect and complicate approximately 5.5% to 13.5% of pregnancies. Preeclampsia, eclampsia, HELLP syndrome, and their complications, such as hepatic infarction and liver rupture/hematoma, are associated with hypertension in pregnancy. The most common conditions are preeclampsia and eclampsia, which affect 5-10% of pregnancies, and approximately 5% to 10% of these develop HELLP syndrome [3-5]. It is estimated to occur in approximately 6 pregnant women per 1000 pregnancies [2].<br />The concept and creation of the acronym HELLP (H = hemolysis, EL = increased liver enzyme levels in the blood, LP = decreased platelet levels) was introduced by Louis Weinstein, who in 1982 presented the results of an analysis of a group of pregnant women with highly pronounced consequences of preeclampsia and eclampsia [2,6]. The researcher showed that all patients had hemolytic anemia associated with microangiopathy, changes in the shape of erythrocytes in the peripheral smear, moderate to severe thrombocytopenia, and abnormal enzymatic tests of liver function, usually in combination with epigastric pain, nausea and vomiting, and severe hypertension and proteinuria often coexisted with these symptoms [3,6]. Since the publication of L. Weinstein's work, others have made significant research contributions to understanding the pathogenesis, natural history, clinical spectrum, classification, and management strategies for this syndrome [3].<br />HELLP syndrome typically develops suddenly in the 2nd or 3rd trimester of pregnancy or within 48 hours of delivery [5,7,8]. It usually accompanies preeclampsia/eclampsia, but can also occur independently. As in the aforementioned conditions, the likely cause of the syndrome is abnormal placental development and ischemia, which induce oxidative stress, resulting in the release of factors that systematically damage the vascular endothelium through platelet activation, vasoconstriction, and loss of the typical pregnancy-related relaxation of vascular smooth muscle [3,9-13].<br />The liver plays a central role in the pathogenesis of HELLP syndrome and is key to understanding the nature of the disorder. Dysfunction and death of perihepatic hepatocytes in a given patient likely correlates with the severity of the condition. The previously discovered CD95 protein (APO-1, FAS), which plays an important role in the pathogenesis of liver disease, mediates hepatocyte apoptosis by binding to Fas-ligand protein (a ligand for the Fas receptor), a member of the TNF receptor family. Fas-ligand is produced by the placenta, and its serum levels increase during the course of the disease and correlate with its severity. Blocking CD95 signaling reduces serum hepatocytotoxic activity in HELLP syndrome [15].<br />This model of HELLP syndrome pathophysiology has been confirmed by other studies, demonstrating that the liver is the target and the placenta is the initiator of the disorders [3].<br />Many authors emphasize the similarity of HELLP syndrome to the Systemic Inflammatory Response Syndrome (SIRS), which may be evidenced by high levels of inflammatory mediators in serum and liver tissues and clinically available laboratory parameters such as the level of leukocytosis, which increases proportionally to the advancement of the disease [15-17].<br />Currently, there are two basic laboratory classification systems for HELLP syndrome: Mississippi and Tennessee, which were created for the purposes of diagnosis, assessment of disease advancement, and evaluation of treatment efficacy [2,3]. Considered separately, they also provide a platform for comparison of research results. They were developed in the 1980s at the research centers of the Universities of Tennessee and Mississippi.<br />The Mississippi classification takes into account the values of three basic parameters measured in blood serum: platelets, liver enzymes - AST and ALAT, and lactate dehydrogenase - LDH, which correlates with the intensity of hemolysis. Classification is ultimately determined by the lowest platelet count in the course of the disease. Grade 1 is associated with the most severe form of the disease, and grade 3 with the mildest. In this classification, all three parameters must be abnormal to diagnose HELLP syndrome.<br /><br />Mississippi Classification:<br />1. Platelet count 50,000, AST and/or ALAT 70 IU/L, LDH 600 IU/L<br />2. Platelet count 100,000, AST and/or ALAT 70 IU/L, LDH 600 IU/L<br />3. Platelet count 150,000, AST and/or ALAT 40 IU/L, LDH 600 IU/L<br /><br />The second classification system that has become common is the Tennessee classification. It defines the so-called true (complete) and incomplete (partial) HELLP syndrome.<br /><br />Tennessee classification:<br />1. Complete HELLP syndrome: platelet count 100,000, AST 70 IU/L; LDH 600 IU/L or bilirubin 1.2 mg/% and abnormal erythrocyte count

Czy zażycie preparatu „Nitromint” może doprowadzić do stanu nietrzeźwości?
Dentistry
#91

Czy zażycie preparatu „Nitromint” może doprowadzić do stanu nietrzeźwości?

Could taking of the “Nitromint” cause a state of insoberity?

Dentistry
Szpot P., Zawadzki M., Siczek M.

<p></p><p>For many years, experts in the field of forensic toxicology have observed that suspects often try to cast doubt on the results of alcohol tests obtained with breath analyzers<i>.</i> The problem usually relates to cases in which the sobriety test was carried out in an improper manner, e.g. only one measurement was taken, the appropriate intervals between measurements were not observed, or the results have no evidentiary value. Some cases from opinion practice testify that an accumulation of the listed irregularities is also possible.</p><p>In many cases, the phenomenon of the occurrence of so-called "residual" (mouth alcohol) is exploited by suspects or their defense attorneys. This phenomenon was first noted by F.W. Anstie in 1867 [1], while the first study of this effect was conducted and described by E. Bogen in 1927. [2]. Residual (residual) alcohol is alcohol that persists in the mucous membrane of the mouth and upper respiratory tract until about several to several minutes after the end of alcohol consumption [3]. This time depends, among other things, on the amount and concentration of alcoholic beverage that was in the mouth [4]. According to a study by Caddy and colleagues [5], who investigated the effect of lingering alcohol on the results of measuring the concentration of ethanol in exhaled air, lingering alcohol persists in the oral cavity for up to a maximum of 10-19 minutes, depending on, among other things, the type of alcohol consumed. Studies by the aforementioned authors prove that the higher the alcohol concentration was, the longer the duration of the so-called lingering alcohol [5]. On the other hand, a study by Langille and Wigmore showed that among 15 women and 15 men who consumed between 16 and 146 ml of beer with an alcohol content of 5% v/v, only 27% of those subjected to the experiment 5 minutes after consumption were found to have an alcohol concentration exceeding 0.01 g/210 l, or approx. 0.048 mg/l (the maximum concentration was 0.016 g/210 l), while after 10 minutes none of the subjects had alcohol in their breath [6].</p><p>When there is alcohol lingering in the mouth, the results do not reflect the actual concentration of alcohol in the breath. Therefore, it is important to dispel any doubts in such a case by taking at least three measurements of the alcohol content in the exhaled air [7,8].</p><p>Many circumstances influence the occurrence of lingering alcohol. In one study by Langille and Wigmore, the authors list as many as eight factors that can influence the occurrence of the lagging alcohol effect [9]. These are<i>:</i></p><p></p><p>1. Engaging in conversation or keeping the mouth open (vaping);</p><p>2. Taking (or attempting to take) multiple breath alcohol measurements in quick succession (vaping);</p><p>3. Chewing gum, tobacco, eating (increased salivary flow);</p><p>4. Gulping food content or gastroesophageal reflux disease (GERD);</p><p>5. Presence of alcohol in exhaled air from the lungs;</p><p>6. Swallowing or gargle (less contact with the mucosa);</p><p>7. Low concentration of alcohol drunk (e.g., beer 5% v/v);</p><p>8. Spray alcohol in asthma preparations or mouthwash (increased evaporation).</p><p></p><p>The aforementioned chewing gum alone can reduce the incidence of the lagging alcohol effect by 85% within 5 minutes of consuming 20% vodka [10]. The problem of the occurrence of the lagging alcohol effect is so important in the practice of toxicology that studies of the effect of dentures and braces on the occurrence of this phenomenon are also performed [11,12].</p><p>The purpose of this paper was to present a case from the opinion practice and to clarify whether the use of <i>Nitromint</i> has an effect on the state of sobriety, and whether taking it twice could have led to a test result on a breathalyzer of 0.26 mg/dl?</p>.

Zespół Ramsaya Hunta oraz zapalenie opon mózgowo-rdzeniowych i mózgu– powikłania  wirusa ospy wietrznej i półpaśca
Surgery
#90

Zespół Ramsaya Hunta oraz zapalenie opon mózgowo-rdzeniowych i mózgu– powikłania wirusa ospy wietrznej i półpaśca

Ramsay Hunt Syndrome type II and meningoencephalitis – complications of Varicella zoster virus

Surgery
Kuska A., Hiemer I.

Wirus ospy wietrznej-półpaśca (VZV) jest powszechnie kojarzony z wywoływaniem ospy wietrznej oraz półpaśca. Niestety, może również spowodować szereg komplikacji, włącznie z zajęciem ośrodkowego układu nerwowego.

Aspekty zdrowotne kryzysu uchodźczego — opisy przypadków
Other
#89

Aspekty zdrowotne kryzysu uchodźczego — opisy przypadków

Health aspects of the refugee crisis — case reports

Other
Waśniowski A.

In recent years, the number of refugees and illegal immigrants reaching Europe from the many regions affected by warfare, humanitarian disasters, and epidemics. Along with the changing directions from which refugees are arriving, the potential epidemiological risks are also changing and new health challenges arise at the ED level as well as in the context of population health. A particularly dangerous trend can be seen in the potential reduction in travel time from an endemic country to Europe, of people who are healthy carriers of potentially infectious diseases, which allows the development of the full-blown forms of particular entities only in destination countries, where people working in the in the health sector do not have adequate training to deal with diseases that are new to their territory with diseases. The presentation presents two case reports with similar symptomatology but completely different etiology and management using P.falciparum malaria and Ebola hemorrhagic fever as examples.

Lewostronna torakoskopia celem usunięcia uchyłka tchawicy i nawrotowej przetoki tchawiczo-przełykowej
Gynecology
#88

Lewostronna torakoskopia celem usunięcia uchyłka tchawicy i nawrotowej przetoki tchawiczo-przełykowej

Left thoracoscopic approach to remove tracheal diverticulum and recurrent tracheo-esophageal fistula

Gynecology
Gerus S., Palczewski M., Świątek K.

Esophageal overgrowth is a rare congenital defect that still poses a challenge to the surgeon. Among the types of overgrowth, the most common is type III, characterized by the presence of an esophageal-tracheal fistula from the lower segment. The procedure involves closing the fistula and then anastomosing the two overgrown sections. In some cases, complications develop, among which the most common are esophageal stricture at the anastomosis site, leakage at the anastomosis site, and recurrence of esophageal-tracheal fistula. Case report: The authors present a description of the diagnosis and treatment of a girl operated on for esophageal overgrowth t. III, who developed a large tracheal diverticulum and recurrence of esophagotracheal fistula. The choice was unusual surgical access through the left pleural cavity using a thoracoscopic technique.

Leczenie chirurgiczne ciężkich odmrożeń i jego alternatywa
Gynecology
#87

Leczenie chirurgiczne ciężkich odmrożeń i jego alternatywa

Surgical treatment of severe frostbite and its alternative

Gynecology
Domanasiewicz A., Jabłecki J., Gosk J.

The significant risk of permanent impairment in frostbite, such as the loss of fingers, challenges doctors and prompts them to use all available therapeutic options to avoid or reduce disability. At the same time, doctors' average practical knowledge of frostbite is archaic and anecdotal. To date, the practice of treating third- and fourth-degree frostbite boils down to diagnosis, desmurgery and surgical treatment - amputation. It is extremely rare for patients to be referred to specialized units for reconstructive surgery. Meanwhile, techniques using stapled and free flaps often allow to reduce the level of amputation and reduce the degree of disability.

Doświadczenia własne z transplantacji twarzy kobiety i mężczyzny
Surgery
#86

Doświadczenia własne z transplantacji twarzy kobiety i mężczyzny

Lesonss learned from Face Transplantation in Female and Male Patient

Surgery
Siemionow M.

A new era in reconstructive transplantation, has introduced vascularized allogeneic composite grafts, such as the human face, hand, larynx and abdominal wall. Currently, 38 face transplants have been performed worldwide with an 85% survival rate. Routine face transplantation is limited due to the need to take immunosuppressive drugs with which serious complications are associated, up to and including death.

Złożona allotransplantacja narządów szyi
Surgery
#85

Złożona allotransplantacja narządów szyi

The complex allotransplantation of a neck structures

Surgery
Maciejewski A., Grajek M.

To present, based on our own experience, a comprehensive transplantation of neck organs (including the larynx, trachea, pharynx, esophagus, thyroid gland with parathyroid glands, muscular structures and the skin covering of the anterior neck wall) using microsurgery techniques for optimal results.

Rak gruczołu piersiowego znaleziony przypadkowo podczas symetryzacji piersi towarzyszącej rekonstrukcji
Gynecology
#84

Rak gruczołu piersiowego znaleziony przypadkowo podczas symetryzacji piersi towarzyszącej rekonstrukcji

Breast cancer in contralateral breast found during symmetrisation — case report

Gynecology
Tarkowski R., Hap A., Bojarowski T.

Breast asymmetry after oncoplastic or reconstructive surgery has an adverse aesthetic effect and psychological, significantly reducing the quality of life. The contralateral breast symmetry procedure not only makes it possible to achieve a good aesthetic effect; removing part of the parenchyma of the healthy breast reduces the risk of the appearance of an independent, metachronous cancer in it in the future, as well as finding asymptomatic cancer of low grade during histopathological examination of the preparation.

Zaburzenia erekcji w chorobach somatycznych
Internal Medicine
#83

Zaburzenia erekcji w chorobach somatycznych

Erectile dysfunction in somatic diseases

Internal Medicine
Kałka D.

As defined, erectile dysfunction (ED, erectile dysfunction) is the persistent inability to achieve and/or maintain an erection sufficient for satisfactory sexual activity (symptoms must persist for a minimum of three months, unless ED is associated with trauma or surgery surgery). It is estimated that 3 million men in Poland are affected, and in a population with cardiovascular disease (CVD, or Cardiovascular Disease) it affects nearly 80% of patients.

Zastosowanie lipegfilgrastymu w pierwotnej profilaktyce gorączki neutropenicznej w trakcie chemioterapii dosedense u pacjentki z rakiem piersi — opis przypadku
Internal Medicine
#82

Zastosowanie lipegfilgrastymu w pierwotnej profilaktyce gorączki neutropenicznej w trakcie chemioterapii dosedense u pacjentki z rakiem piersi — opis przypadku

Administration of lipegfilgrastim in primary prophylaxis of febrile neutropenia during dose-dense chemotherapy in a patient with breast cancer — case report

Internal Medicine
Malik M., Różanowski P.

The use of dose-dense or "dense-dose" complementary chemotherapy in early breast cancer has allowed significantly improve the four-year disease-free survival (DFS) rate, especially in a group of patients who are young and have the so-called triple-negative (tripple nega􀆟ve) breast cancer phenotype. This mode of administration of chemotherapy is associated with a significantly higher (about 20%) risk of neutropenic fever (GN). As part of primary prophylaxis, current standards use granulocyte colony-stimulating agents granulocyte colony-stimulating agents, mainly the long-acting form - pegfilgrastim. Recently, a new long-acting G-CSF - lipegfilgrastim.