Publications

Peer-reviewed clinical case reports

e-ISSN: 2084-2708 (primary version)|p-ISSN: 2083-0033 (print version)
Śluzak lewego przedsionka u pacjenta z wrodzoną anomalią tętnic wieńcowych
Surgery
#69

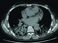
Śluzak lewego przedsionka u pacjenta z wrodzoną anomalią tętnic wieńcowych

Left atrial myxoma in a patient with a congenital anomaly of the coronary arteries

Surgery
Kowalski J., Mak M., Nasuszny W.

Myxomas of the heart are the most common primary heart tumors. The incidence of this condition is estimated at 5/million/year. The recommended treatment is to resect the tumor as soon as possible, along with a margin of healthy tissue. Myxomas can recur if all tumor cells are not removed during surgery.

Trudności diagnostyczne i terapeutyczne nawracającego zespołu nerczycowego u pacjenta po przeszczepieniu nerki
Surgery
#68

Trudności diagnostyczne i terapeutyczne nawracającego zespołu nerczycowego u pacjenta po przeszczepieniu nerki

Diagnostic and therapeutic difficulties recurrent nephrotic syndrome in a patient after renal transplantation

Surgery
Krysa M., Tryka B., Gasińska K.

Glomerulopa􀆟e that occur in the transplanted kidney are the cause of recurrent nephrotic syndrome and are a serious clinical problem, as they can lead to the loss of the transplant.

Powikłania septyczne po operacyjnym nacięciu szyi pęcherza moczowego (TUNI) u biorcy nerki z wieloletnią cukrzycą typu 1
Surgery
Ostra obturacyjna zakrzepica zastawki mechanicznej w pozycji mitralnej - wciąż aktualne powikłanie
Surgery
#66

Ostra obturacyjna zakrzepica zastawki mechanicznej w pozycji mitralnej - wciąż aktualne powikłanie

Acute obstructive thrombosis of mechanical valve prosthesis in the mitral position - still relevant complication

Surgery
Kowalski J., Kołtowski P., Cichoń R.

The authors present the case of a patient in whom, five years after implantation of a mechanical valve prosthesis into the mitral position, most likely as a result of improper anticoagulant therapy performed during the dental procedure resulted in thrombosis of the artificial valve.

Nietypowy obraz gruźlicy płuc u chorej z przewlekłą niewydolnością nerek, po transplantacji nerki
Surgery
#65

Nietypowy obraz gruźlicy płuc u chorej z przewlekłą niewydolnością nerek, po transplantacji nerki

Unusual picture of pulmonary tuberculosis in a patient with chronic renal failure after renal transplant - a case report

Surgery
Gostkowska-Malec A., Jankowska R.

Patients with chronic renal failure, after kidney transplantation, have an increased risk of developing of tuberculosis. The clinical and radiological picture of tuberculosis in immunosuppressed patients is uncharacteristic, often suggestive of another disease process. The increased risk of generalization of the disease and the significant proportion of deaths in this group of patients prompts a thorough diagnosis of mycobacterium tuberculosis infection.

Kontrowersje dotyczące istnienia łagodnej formy choroby Devica - opis przypadku
Internal Medicine
#64

Kontrowersje dotyczące istnienia łagodnej formy choroby Devica - opis przypadku

Controversy concerning the existence of a benign form of neuromyelitis optica - case report

Internal Medicine
Ławik U., Juryńczyk M., Selma K.

Devic's disease (neuromyelitis optica, NMO) is a chronic demyelinating disease of the central nervous system primarily damaging the spinal cord and optic nerves. Formerly considered a variant of multiple sclerosis multiple sclerosis, NMO is now classified as a separate disease entity with a specific pathogenesis related to associated with reactivity against aquaporin 4.

Szybko postępujący zespół ucisku rdzenia kręgowego u dziecka
Other
#63

Szybko postępujący zespół ucisku rdzenia kręgowego u dziecka

Rapidly progressing cord compression syndrome in a child

Other
Kuźniar E., Stanuszek A., Gergont A.

Arachnoid calcifications coexisting with epidurally located spinal canal lipoma, are a rare cause of spinal cord compression, especially in children.

Zapalenie płuc z ostrą niewydolnością oddechową u pacjenta po przeszczepieniu nerki - etiologiczne trudności diagnostyczne
Surgery
#62

Zapalenie płuc z ostrą niewydolnością oddechową u pacjenta po przeszczepieniu nerki - etiologiczne trudności diagnostyczne

Pneumonia with acute respiratory failure in patient after renal transplantation - etiological difficulties with diagnosis

Surgery
Przetacznik P., Bąk K., Blicharz J.

Infections in post-transplant patients are an important clinical problem, as the immunosuppressed state induced in recipients predisposes them to the development of opportunistic infections.

Wstrząs hipowolemiczny powikłany ostrą niewydolnością nerek. Użycie technik ciągłych nerkozastępczych
Internal Medicine
#61

Wstrząs hipowolemiczny powikłany ostrą niewydolnością nerek. Użycie technik ciągłych nerkozastępczych

Hemorrhagic shock leading to acute renal failure - the use of continuous renal replacement therapy

Internal Medicine
Dobielski P., Gruszkowska K., Sikora P.

Acute non-inflammatory renal failure (ONNN) can follow hypovolemic shock hemorrhagic. Renal replacement therapy techniques, such as continuous veno-venous hemodiafiltration (CVVHDF), are key elements of therapy, leading to improvement in the patient's condition and restoration of the pre-event physiology.

Zaćma u pacjentki z krótkotrwałą cukrzycą typu 1 - opis przypadku
Pediatrics
#60

Zaćma u pacjentki z krótkotrwałą cukrzycą typu 1 - opis przypadku

Cataracts in a patient with short-term type 1 diabetes - case report

Pediatrics
Suwała S., Szadkowska A.

Cataract is the most common pathological condition of the lens of the eye, consisting of its partial or complete opacity. This pathology can occur spontaneously or on the background of other diseases. Diabetic cataracts rarely affect children, and already to the exceptional rarity are descriptions of cases of appearance of cataracts in children in the first year of the disease. These changes usually regress with the improvement of diabetes compensation.

Zmienna lokalizacja gruczolakoraka odbytnicy: wpływ opisu badania na wybór zabiegu operacyjnego
Surgery
#59

Zmienna lokalizacja gruczolakoraka odbytnicy: wpływ opisu badania na wybór zabiegu operacyjnego

Variable localisation of rectal tumor: the influence of the tumor's location on the choice of optimal surgical procedure

Surgery
Bębenek M., Tarkowski R., Szelachowska J.

Surgery is an indispensable part of the combined treatment of people with adenocarcinoma of the rectum. Depending on the location, it takes the form of anterior resection (AR) or amputation (ASAR, resp. APR): the latter type of procedure, performed in patients with low-lying lesions, involves with mutilation in the form of the emergence of a permanent fecal fistula. The decision on the choice of surgery is based on an analysis of studies determining, among other things, the local condition.

Nietypowy przypadek wrodzonej przepukliny przeponowej prawdziwej
Pediatrics
#58

Nietypowy przypadek wrodzonej przepukliny przeponowej prawdziwej

An unusual case of true congenital diaphragmatic hernia

Pediatrics
Grzyb A., Pruszyńska I., Stańczyk B.

Congenital diaphragmatic hernia (CDH) is a rare birth defect with a high mortality rate, resulting from pulmonary hypoplasia and pulmonary hypertension. In order to optimize treatment outcomes prenatal diagnosis is important, providing the opportunity to choose further management.